病例介绍
患者,女,33岁,已婚,2023年4月10日入院。
✦主诉:发现子宫肌瘤半年。
✦现病史:患者2022年10月13日在当地医院体检时彩超提示:多发子宫肌瘤(最大一个4.4cmx3.6cm)。当时无不适,经期、月经量正常,无痛经,未特殊处理,定期复查。2023年1月,复查肌瘤无明显变化。2周前患者无明显诱因出现间断性腰部酸胀不适,复查彩超提示:子宫肌瘤(肌壁见多个低回声,宫底部一大小6.8cm*6.1cm);左侧卵巢囊性结构。患者偶觉尿频,无其他不适,月经无变化。门诊以“子宫肌瘤”收入院。起病以来,患者精神、食欲、睡眠均可,大便正常,小便同上述,体重及体力无下降。
✦既往史:无特殊病史、手术外伤史及药物过敏史。
✦月经,婚育史:月经规律,末次月经为2023年3月24日,孕2产2。
✦家族史:无特殊家族史。
✦体格检查:T:36℃,P:80bpm,R:19bpm,Bp:130/80mmHg,全身皮肤粘膜无黄染,浅表淋巴结未触及肿大,心肺未闻及明显异常,腹软,未及肿块,无压痛及移动性浊音,双下肢无浮肿。
✦妇科检查:
外阴:无异常。
阴道:通畅,黏膜光滑。
宫颈:宫颈肥大,中度糜烂,质硬,无触血。
宫体:子宫男拳大小,后壁凸起,无压痛,活动欠佳;双侧附件区未及明显异常。
直肠指检:盆底未触及结节;直肠粘膜光滑,指套无血染。
✦影像学检查:
·胸部CT无异常;腹部CT:右肾结石。
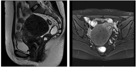
·盆腔MRI:子宫右后壁肿块,考虑肌瘤(80mm*72mm*67mm);盆腔少许积液 。

✦其他检查:
·实验室检查:血常规、肝肾糖电解质、甲功三项、凝血象、宫颈TCT、肿瘤标志物等未见明显异常。
·心电图无异常。
✦诊断及治疗:
·术前诊断:
1.子宫肿瘤:肌瘤(变性?)。
2.盆腔积液。
3.右肾结石。
·2023年4月13日,行腹腔镜子宫肌瘤剔除+子宫修补+盆腔腹膜粘连松解术。
✦手术经过:

✦术后情况:
·手术时间:120分钟。
·出血量:100 mL。
·术后24小时肛门排气。
·术后第三天患者出院。
·术后病检:子宫平滑肌瘤。

垂体后叶素及缩宫素的弊端
垂体后叶素系从垂体后叶提取的九肽类物质,含缩宫素和血管加压素两种成分,对平滑肌有强烈的收缩作用。局部注射垂体后叶素于子宫肌层,可以引起子宫的强烈收缩,减少术中出血。
注射垂体后叶素可能引起不良反应,例如心动过缓、心脏骤停、低血压、肺水肿等,一旦发生,可能导致严重的呼吸循环系统损害。
使用垂体后叶素,子宫可能因过度收缩无法判断子宫是否满意缝合,术后可能存在再出血风险。
髂内动脉阻断术是通过暂时阻断子宫供血,减少术中出血,术野清晰、解剖层次分明,与注射缩宫药物效果相当,且无药物带来的风险。缝合子宫后,可通过恢复子宫血供来判断缝合效果,降低术后再出血风险。
专家简介
胡争 教授
院内任职:武汉大学中南医院妇儿医院副院长、妇科肿瘤科科主任、妇科肿瘤科学科带头人。
学术任职:
1)国家科技部重大专项首席科学家(原863计划)
2)国家自然科学基金多国合作重点项目牵头科学家
3)中国研究型医院病毒肿瘤学会副主任委员
4) 广东省珠江学者
5)湖北省医师协会妇产科医师分会副主任委员
享受特殊津贴及类型:中组部国家高层次人才
所获荣誉及奖项(省级及以上):
1)2019年度全国妇幼健康科学技术奖一等奖
2)2020年度中华医学科技奖一等奖
主要研究成果:
以通讯作者/第一作者发表SCI论文30+篇,10分以上论文>10篇,总影响因子>200分, 包括Nature Genetics, JCI, Advanced Science, Nucleic Acids Research, Nature Communication, Clinical Cancer Research等期刊。目前主持国家科技部传染病重大专项1项,国家自然科学基金3项,总经费逾千万。研究成果多次获得国内外同行的肯定性评价,相关研究结论入选Prime 1000,并被Nature、Nature Biotechnology、Nature Reviews Cancer等顶级杂志正面引用。发明专利10余项。
专业特长:
妇科肿瘤学科带头人,对妇科肿瘤的早期诊断和治疗有丰富的临床经验。在宫颈持续HPV感染的精准诊断及宫颈癌前病变的诊治处于国际领先水平。擅长腹腔镜下(传统腹腔镜、单孔腹腔镜及达芬奇机器人手术系统)宫颈癌、子宫内膜癌、卵巢肿瘤、子宫内膜异位症、子宫肌瘤、子宫腺肌瘤、宫颈病变等妇科疾病的微创手术,及宫腔镜下异常子宫出血、子宫内膜息肉、子宫粘膜下肌瘤、子宫畸形等宫腔病变的诊断和治疗。手术技术精湛,重视患者生殖内分泌功能的保护和术后生活质量的提高。此外,在晚期和复发性卵巢癌、外阴/阴道癌以及滋养细胞肿瘤的综合治疗方面亦具有较深造诣,以提高患者生存质量。
责编:liu
